Es posible que la haya escuchado con anterioridad y que tengas una idea de que es algo que tiene que ver con la boca de las personas, pero debes creernos cuando te decimos que es una dolencia que es bastante delicada y que está relacionada con la salud dental de los individuos, por eso es importante que te enteres de sus causas y como puede ser evitada.
¿Qué es la piorrea?

Se trata de una dolencia periodontal, lo que significa que afecta a las estructura que se encuentran en la boca de los individuos, que hace que a medida que va evolucionando se puedan ir perdiendo dientes si no se toman los correctivos necesarios a tiempo y se busca la ayuda de odontólogos profesionales.
Se dice que es una de las dolencias periodontales que se encuentra más extendida en todo el mundo. Normalmente, quienes la sufren son los adultos, y suele producirse como consecuencia inmediata de la presente de bacterias en la zona de la boca.
¿Cómo se presenta la piorrea?
Como antes dijimos, es una dolencia periodontal, lo que significa que afecta no sólo a los dientes, sino también a las encías, que son las dos estructuras bucales que resultan más dañadas por causa de ésta. Otro nombre con el que se conoce a la piorrea es la periodontitis, y el grave inconveniente de sufrirla es que se trata de una enfermedad que no tiene cura, es decir, que no puede revertirse, de modo que se trata de algo muy serio.
¿Cuándo se produce la piorrea?
Se produce cuando las personas tienen malos hábitos de higiene bucal, de modo que permiten la colonización de bacterias en su boca, por no ser cuidadosos con las medidas que se deben tomar para mantener una boca sana, de allí la importancia de acudir regularmente al odontólogo para una limpieza periódica.
La piorrea se presenta primeramente en la zona de las encías, lo que provoca su deterioro constante, y permite que lo que se denomina hueso alveolar se vaya dañando, hasta que el hueco dental se deteriora completamente y si van perdiendo los dientes, que es su más grave consecuencia.
¿Cómo actúan las baterías en la boca?
Normalmente, dentro de la cavidad bucal se encuentran alrededor de 300 clases de bacterias diferentes, siendo lo normal que sean eliminadas por medio de adecuados hábitos de higiene y cuidado dental y bucal. En caso de que esto no ocurra, lo que pasará es que la placa bacteriana se va a calcificar, apareciendo lo que se conoce con el nombre de sarro.
Cuando hay sarro, la mejor manera de eliminarlo es por medio de una limpieza dental efectuada por un odontólogo profesional, quien poseerá las herramientas que se necesitan para ello. Por esa razón es tan importante visitar al odontólogo de forma regular, ya que si el sarro no es eliminado exitosamente de los dientes y encías, esas bacterias que estarán calcificadas, podrán acceder a otras zonas, comprometiendo las estructuras bucales, al llegar a líneas que se encuentran debajo de la encía.
En esta etapa del proceso de acceso de la placa dental calcificada a esas zonas, se van a formar lo que se denomina bolsa periodontal, que es realmente la acumulación excesiva de bacterias a niveles subgingivales y su accionar poco a poco va a ocasionar daños graves en el hueso alveolar, que es el hueso al que están adheridos los dientes. Esta puede ser una de las causas por las que más de 7% de la población de entre 65 y 74 años esté totalmente desdentada.
¿Cuáles son los síntomas de la periodontitis o piorrea?

Entre los síntomas que esta dolencia puede presentar se encuentran:
- La aparición de espacios entre los dientes.
- La aparición de abscesos en los dientes, que son básicamente infecciones que causan mucho dolor, y que requieren ser drenados por un especialista.
- Molestias cuando se mastica.
- Halitosis o mal aliento.
- Aparición de sensibilidad en las encías y en lo dientes.
- Las piezas dentales tienen movilidad.
- Se presentan sangrados en las encías.
- Las encías se retraen.
- Las encías se inflaman y se enrojecen.
Los síntomas más evidentes de que se sufre de piorrea son el enrojecimiento e inflamación de las encías, así como el sangrado de las mismas. De hecho, lo normal es que las encías nunca sangres, ni siquiera cuando te cepilles los dientes, a menos que te cepilles los dientes de una manera agresiva, porque en ese caso lo que ocurre es que estarás irritando o lesionando a tus encías, en cuyo caso sangrarán, aunque en este supuesto el sangrado será puntual, sólo en la zona afectada por el cepillado.
¿Cómo es el sangrado?
En el caso de que estés sufriendo de una piorrea, el sangrado de las encías será constante, y puede presentarse sin que te estés cepillando los dientes, inclusive por el simpe hecho de estar masticando. Por eso debes poner atención a tus encías, y verificar si tienen una coloración rosácea, lo que indica que están saludables. Pero si observas que se ven oscurecidas, enrojecidas, que tengan un color bastante parecido al violeta, entonces algo no está bien.
Otro aspecto que debes observar es si las encías se ven inflamadas, porque eso, junto con el color anormal, son señales claras de que puedes estar sufriendo de piorrea, así que debes acudir al odontólogo cuanto antes, quien podrá examinar el estado en que se encuentra u boca y te indicará el tratamiento que debes seguir para impedir que esta enfermedad avance.
¿Cuál es el tratamiento para la periodontitis?
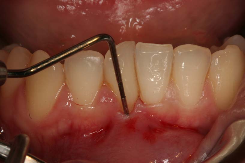
Después de que el odontólogo haya efectuado un sondeo de tus encías y haya determinado la existencia de bolsas periodontales, que se reabsorben por el hueso que mantiene a los dientes en su sitio, entonces podrá determinar si sufres de periodontitis y comenzará con el tratamiento adecuado, que normalmente consiste en:
- Prescribirte medicinas: recuerda que la piorrea se trata de infección por bacterias, de modo que puede ser frenada exitosamente con determinados antibióticos.
- Realizar un curetaje dental: este procedimiento consiste en un raspado o un alisado de la radícula de los dientes, que es muy parecida a las limpiezas dentales, pero un poco más profunda, lo que permitirá limpiar todo aquello que se encuentre por debajo de las líneas de las encías, permitiendo eliminar cualquier bolsa periodontal existente. De hecho, es posible que deban hacerse varios curetajes puntuales o selectivos, en determinados dientes.
- Realizar una cirugía periodontal: algo que no siempre es necesario, porque aplica sólo en casos bastante graves de periodontitis, cuando es necesario realizar una cirugía para poder llegar a las áreas más profundas sobre el periodonto, para eliminar la placa bacteriana.
Todo esto puede ser evitado si llevas a cabo una rutina diaria de higiene bucal y visitas con regularidad al odontólogo para asegurarte de que todo esté bien en tu boca.




